Implantologie
Qu'est ce que l'implantologie ?
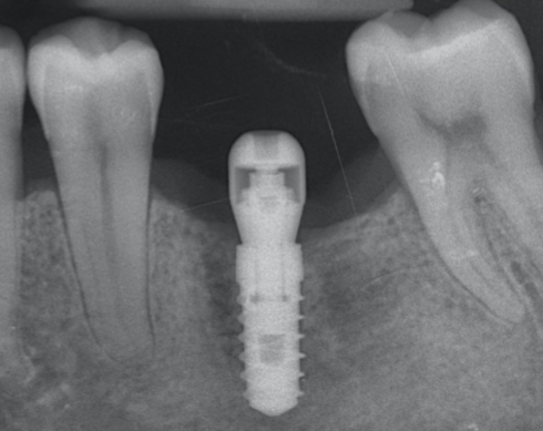
Les implants dentaires sont des racines artificielles sous forme de vis en titane. Ils sont insérés dans l’os de la mâchoire permettant de remplacer une ou plusieurs dents absentes.
La mise en place d’un implant requiert une étude pré-implantaire. Cette évaluation permet de valider le volume et la qualité osseuse disponible afin de placer l’implant dentaire dans une position idéale et esthétique. Si l’étude pré implantaire montre un manque d’os, une greffe osseuse (ROG, sinus lift) sera nécessaire.
L’implant dentaire peut être posé sur une crête osseuse cicatrisée (plus de 3 mois après l’extraction) ou le même jour que l’extraction. La prothèse définitive est confectionnée après la solidification de l’os autour de l’implant (osteointégration). Dans certaines conditions, une prothèse provisoire peut être mise en place immédiatement après la pose de l’implant.
La mise en place d’un implant requiert une étude pré-implantaire. Cette évaluation permet de valider le volume et la qualité osseuse disponible afin de placer l’implant dentaire dans une position idéale et esthétique. Si l’étude pré implantaire montre un manque d’os, une greffe osseuse (ROG, sinus lift) sera nécessaire.
L’implant dentaire peut être posé sur une crête osseuse cicatrisée (plus de 3 mois après l’extraction) ou le même jour que l’extraction. La prothèse définitive est confectionnée après la solidification de l’os autour de l’implant (osteointégration). Dans certaines conditions, une prothèse provisoire peut être mise en place immédiatement après la pose de l’implant.
Quelles sont les contre-indications les plus fréquentes ?
La chirurgie implantaire se fait sous une anesthésie locale. Elle implique le passage progressif de forêts de différents diamètres permettant de créer l’espace requis dans lequel l’implant est ensuite placé.
Mauvaise
hygiène
Tabac
Diabète
non équilibré
Prise de biphosphonates en intraveineux
Découvrez les avants/après de nos patients


Avant
Après